Skip to content
Menu
Home
About us
About Us
What Our Patients Say
Services
Dental Services
Before And After Gallery
Fees
Appointments
Denplan
News
Contact Us
Emergency Number
01255 422506
Tender Dental Care
A Tender Approach To Dental Care
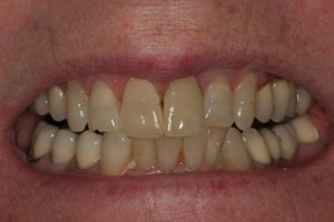
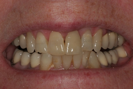
tender_dental_care_clacton_essex_after_crown